Nguyên nhân thường gặp của tràn dịch màng phổi
Nguyên nhân thường gặp của tràn dịch màng phổi
NGUYÊN NHÂN THƯỜNG GẶP CỦA TRÀN DỊCH MÀNG PHỔI
BS.CKI. Lê Thị Kim Chi
Trung tâm điều trị bệnh hô hấp Phổi Việt
Giảng viên bộ môn nội Trường Đại Học Y Dược TPHCM
1. Tràn dịch màng phổi là gì?
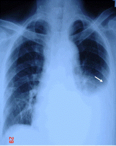
Tràn dịch màng phổi là sự tích tụ dịch bất thường trong khoang màng phổi so với mức bình thường (chỉ có một lượng dịch rất ít trong khoang màng phổi, khoảng 10ml, giúp bôi trơn giữa 2 lá của màng phổi).
2. Nguyên nhân thường gặp của tràn dịch màng phổi:
Tại Việt Nam, nguyên nhân thường gặp của tràn dịch màng phổi có thể kể đến như: lao, ung thư, suy tim, xơ gan, bệnh thận,viêm phổi…Tùy thuộc vào từng nguyên nhân mà người bệnh sẽ có có triệu chứng khác nhau kèm theo.
a. Tràn dịch màng phổi do lao màng phổi:
Rất thường găp. Bệnh cảnh điển hình là một người trẻ tuổi, cảm thấy khó thở ngày càng tăng dần, mệt mỏi, đau nhói ngực một bên, gầy ốm, sụt cân, ăn không ngon, có thể sốt nhẹ, ho khan…
b. Do ung thư:
Thường gặp ở người lớn tuổi, khó thở tăng dần, ung thư có thể là từ phổi đi ra hoặc từ nơi khác chạy lên màng phổi
c. Do suy tim:
Bệnh nhân thường có bệnh tim mạch trước đó hoặc khó thở diễn tiến kéo dài trước đó vì suy tim. Tim không thể bơm máu nổi, nay có thêm tràn dịch màng phổi làm cho khó thở nặng hơn. Bệnh nhân thường có kèm theo các triệu chứng khác như phù chân…
Ngoài ra, còn nhiều nguyên nhân khác có thể gây tràn dịch màng phổi.
3. Khi nào bạn nên đi đến gặp bác sỹ
Bạn nên gọi cho bác sỹ của bạn ngay hoặc đến khám bác sỹ nếu bạn có các triệu chứng sau đây:
Khó thở, ho… không giải thích đươc
Đau ngực dữ dội khi hít thở
4. Các xét nghiệm có thể làm để xác định chẩn đoán nguyên nhân tràn dịch màng phổi
Để xác định có tràn dịch màng phổi bác sỹ có thể đề nghị các xét nghiệm sau:
- X-Quang phổi ( giúp xác định tràn dịch màng phổi)

- Siêu âm ngực (nếu thấy cần thiết),
- Chọc hút dịch trong khoang màng phổi ( dẫn lưu nếu cần): để làm xét nghiệm giúp chẩn đoán bệnh, để điều trị giảm bớt khó thở cho bệnh nhân
