Ung thư phổi
Ung thư phổi
UNG THƯ PHỔI
BS.CKI.Danh Xuân Nhiên
Khoa Phổi Bệnh viện 30-4
Trung tâm điều trị bệnh hô hấp Phổi Việt
Bài viết dưới đây sẽ giải đáp các thắc mắc thường gặp về bệnh Ung thư phổi cho quý độc giả:
- Bệnh Ung thư phổi là bệnh gì?
- Ung thư phổi có nhiều loại không?
- Ung thư phổi có hay gặp không?
- Tại sao lại mắc bệnh ung thư phổi?
- Sàng lọc ung thư phổi giai đoạn sớm như thế nào?
- Biểu hiện của bệnh ung thư phổi như thế nào?
- Các xét nghiệm nào được dùng để chẩn đoán bệnh ung thư phổi?
- Ung thư phổi triến triển qua mấy giai đoạn?
- Ung thư phổi điều trị như thế nào?
Bệnh Ung thư phổi là bệnh gì?
Ung thư phổi: là bệnh liên quan đến sự tăng sinh không kiểm soát của các tế bào trong mô phổi tạo thành khối u ác tính ở phổi. Nếu người bệnh không được điều trị các tế bào ác tính này có thể lan ra ngoài phổi đến các mô hoặc bộ phận khác của cơ thể, quá trình này người ta gọi là di căn.
Ung thư phổi có nhiều loại không?
Ung thư phổi được chia làm 2 loại, chủ yếu dựa vào tiên lượng và đáp ứng điều trị của bệnh.
►Ung thư phổi tế bào nhỏ: chiếm khoảng 10-15% trong tất cả các loại ung thư phổi. Dạng này có xu hướng phát triển và lan rộng rất nhanh nên khi bệnh được phát hiện và chẩn đoán thì thường rơi vào giai đoạn muộn.
►Ung thư phổi không phải tế bào nhỏ: chiếm khoảng 80-85%. Loại này gồm các dạng tế bào khác nhau như: ung thư phổi tế bào tuyến, ung thư phổi tế bào gai và ung thư phổi tế bào lớn. Sở dĩ chúng được xếp chung vào trong 1 nhóm là do người ta nghiên cứu thấy đặc tính và tiên lượng điều trị của chúng gần như nhau.
Ung thư phổi có hay gặp không?
+ Ung thư phổi là một trong những loại ung thư phổ biến nhất, đứng thứ 2 sau ung thư tuyến tiền liệt đối với nam giới và ung thư vú đối với nữ giới. Ỡ Mỹ người ta ước tính mỗi năm có khoảng 228.820 trường hợp ung thư phổi mới và khoảng 135.720 người tử vong do ung thư phổi. Ung thư phổi là nguyên nhân gây tử vong hàng đầu trong tất cả các loại ung thư và chiếm khoảng 25%.
+ Ung thư phổi hay gặp ở người từ 45 tuổi trở lên, trung bình là khoảng 70 tuổi.
Tại sao lại mắc bệnh ung thư phổi ?

►Hút thuốc lá: là nguy cơ hàng đầu gây bệnh ung thư phổi, khoảng 80% các trường hợp ung thư phổi là có liên quan đến hút thuốc lá. Người ta còn nhận thấy tỷ lệ người bị ung thư phổi tế bào nhỏ cao hơn ở những người hút thuốc lá so với những người không hút. Hút thuốc lá càng lâu và số lượng điếu thuốc lá hút trong ngày càng nhiều thì nguy cơ ung thư phổi càng cao.
►Yếu tố di truyền: các nhà khoa học nhận thấy các trường hợp ung thư phổi ở người trẻ, những người không hút thuốc lá có liên quan đến yếu tố di truyền từ thế hệ trước.
►Các nguyên nhân khác gây ung thư phổi như: chất amiăng , khí thải xăng dầu, ô nhiễm không khí…Đây cũng có thể là nguyên nhân chính ở những trường hợp bị ung thư phổi không liên quan đến hút thuốc lá.
Sàng lọc ung thư phổi giai đoạn sớm như thế nào?
Ung thư phổi nếu phát hiện ở giai đoạn sớm khi khối u kích thước còn nhỏ và chưa di căn thì khã năng điều trị thành công cao và tiên lượng sống > 5 năm khả quan. Do tiến triển của ung thư phổi âm thầm nên triệu chứng bệnh rất mơ hồ hầu như người bệnh không thấy biểu hiện gì cả nên khi phát hiện được bệnh đã rơi vào giai đoạn trễ của bệnh và tiên lượng của bệnh là rất xấu. Do đó người ta khuyến cáo những người có nguy cơ cao mắc ung thư phổi, đặc biệt là những người hút thuốc lá lâu năm nên làm tầm soát ung thư phổi định kỳ hàng năm.
Hiệp hội ung thư Hoa kỳ đã đưa ra khuyến cáo những người tuổi từ 55-74 có tiền sử hút thuốc lá 30 gói/năm nên thực hiện chụp CT- SCAN ngực liều thấp (LDCT) mỗi năm 01 lần, việc này có thể làm giảm 20% các trường hợp tử vong do ung thư phổi. Tuy nhiên người ta cũng nhận thấy rằng phải bỏ hút thuốc lá thật sớm mới là yếu tố tiên quyết làm giảm tỷ lệ mắc và tử vong do bệnh ung thư phổi.
Đối với các trường hợp ít nguy cơ hơn người ta khuyến cáo người > 45 tuổi mỗi năm cũng nên chụp Xq Phổi 1 lần để tầm soát.
Biểu hiện của bệnh ung thư phổi như thế nào?
Hầu hết những người bị ung thư phổi đều không có bất cứ triệu chứng nào cho đến khi bệnh tiến triển đến giai đoạn di căn. Triệu chứng bệnh giai đoạn sớm rất nghèo nàn nên dễ gây nhằm lẫn với các bệnh hô hấp thông thường. Các triệu chứng phổ biến khi bệnh tiến triển:
+ Ho dai dẳng kéo dài điều trị thường không đáp ứng.
+ Ho ra máu hoặc ho khạc ra đàm có màu gỉ sắt là triệu chứng khi u đã quá to có biểu hiện hoại tử trong u gây xuất huyết.
+ Đau ngực thường tăng khi hít thở sâu hoặc ho.
+ Cảm giác hụt hơi, mệt mỏi, ăn mất ngon .
+ Giảm cân nhanh không giải thích được, có khi giảm đến 10% trọng lượng cơ thể trong 1-2 tháng.
+ Ngoài ra còn có các triệu chứng của u vùng đỉnh phổi(U Pancoast) chèn ép vào trung thất trên gây ra các triệu chứng: đau nhiều ở vai, phù nhiều vùng cổ mặt, khàn tiếng …
Bệnh giai đoạn muộn tế bào ung thư phát triển di căn đến các cơ quan như: não, gan, cột sống, cánh chậu, hệ thống hạch ngoại biên…
+ Di căn dến não : gây đau đầu nhiều, buồn nôn , nôn ói…Tổn thương não có thể 1 ổ hoặc nhiều ổ khác nhau chèn ép vào các vùng não lành xung quanh gây yếu liệt nữa người, méo miệng , lé…nặng nề hơn có thể làm người bệnh hôn mê tử vong.
+ Di căn đến gan: gây vàng da, vàng mắt, ăn uống không tiêu , báng bụng…
+ Di căn xương: có thể đau nhiều vùng cổ, lưng, chậu hông …do tế bào ung thư ăn đến thân xương cột sống ở cổ, thắt lưng hoặc cánh chậu…, một số trường hợp nặng có thể gây phá hủy hoàn toàn thân xương gây mất vững cột sống gây chèn ép tủy sống làm người bệnh bị yếu liệt hoàn toàn 2 chân, tiêu tiểu không còn tự chủ.
+ Di căn hạch: thường nổi nhiều hạch vùng cổ 2 bên, hạch cứng chắc sưng đau nhiều. Ngoài ra có thể thấy xuất hiện hạch di căn ở vùng nách và bẹn.
Các xét nghiệm nào được dùng để chẩn đoán bệnh ung thư phổi?
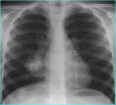
►XQ Phổi : đây có thể coi là xét nghiệm cơ bản tầm soát ung thư giai đoạn sớm, XQ phổi có thể gợi ý tổn thương ngi ngờ ung thư như vị trí khối u, kích thước, mức độ lan rộng…từ đó giúp bác sĩ định hướng các xét nghiêm cần làm thêm để chẩn đoán xác định.

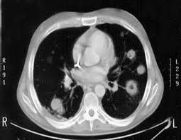
►Chụp chụp cắt lớp vi tính vùng ngực (CT SCAN): giúp phát hiện hình dạng, kích thước, vị trí chính xác của khối u, đánh giá mức độ xâm lấn các cơ quan lân cận như: hạch trung thất, màng phổi, xương sườn, gan…qua đó giúp đánh giá giai đoạn của bệnh.

►Nội soi phế quản bằng ống mềm: giúp phát hiện các tổn thương xâm lấn vào phế quản phổi, xem vị trí u ở nhánh phế quản lớn hay các nhánh chia nhỏ? Có lan rộng nhiều nhánh phế quản hay chưa? u gây bít tắc hoàn toàn lòng phế quản chưa? U có chảy máu hay không? Qua nội soi phế quản ta có thể tiếp cận khối u và lấy mẫu mô để làm giải phẩu bệnh xác định loại tế bào ác tính. Nội soi phế quản cũng góp phần vào đánh giá giai đoạn cũng như hướng điều trị của bệnh.

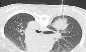
►Sinh thiết phổi xuyên thành ngực dưới hướng dẫn của CT SCAN ngực: đây là kỹ thuật lấy mẫu mô từ khối u ở phổi qua một kim sinh thiết dưới sự dẫn đường của CT Scan ngực, thường thực hiện ở những u nằm ở ngoại biên mà kỹ thuật nội soi phế quản không thể tiếp cận được để lấy mẫu mô khối u làm giải phẩu bệnh.

►Sinh thiết u phổi dưới hướng dẫn của siêu âm: kỹ thuật này được thực hiện tương tự như dưới hướng dẫn của CT scan .
Ung thư phổi triến triển qua mấy giai đoạn?
Sau khi được chẩn đoán ung thư, người bệnh và gia đình thường quan tâm đến bệnh ung thư đang ở giai đoạn nào? Giai đoạn bệnh của ung thư phổi liên quan rất nhiều đến việc lựa chọn phương pháp điều trị và tiên lượng sống còn của bệnh nhân. Ung thư phổi được chia làm các giai đoạn từ: 1 cho đến 4 được ký hiệu bằng chữ số La Mã ( I.II.II.IV ). Giai đoạn đánh số càng cao thì cho thấy biểu hiện của bệnh đã tiến triển càng nặng, tiên lượng xấu hơn và thời gian sống còn của người bệnh ngắn lại. Thường thì người ta phân giai đoạn ung thư theo hệ thống TNM của Ủy ban Hỗn hợp Hoa kỳ về ung thư (AJCC), dựa trên các thông tin:
►Kích thước và mức độ lan rộng của khối u chính (T):kích thước u bao nhiêu ? U đã xâm lấn đến các cấu trúc và cơ quan lân cận chưa? Người ta phân T làm: T1,T2,T3,T4 dựa vào kích thuốc của khối u.
►Sự lây lan dến các hạch bạch huyết lân cận (N): ung thư có di căn đến các hạch bạch huyết lân cận chưa? được phân thành : N1,N2,N3 tùy thuộc vào số lượng các hạch bach huyết bị ảnh hưởng bởi tế bào ung thư.
►Sự di căn dến các cơ quan xa (M): ung thư đã di căn đến các cơ quan ở xa như não, xương, gan, tuyến thượng thận chưa? Được chía làm: M0 (không tìm thấy ung thư di căn) và M1 (phát hiện ung thư di căn đến mô và các cơ quan ở xa).
►Dựa vào phân độ của T, N, M thì ung thư phổi được chía thành các giai đoạn:
●Giai đoạn I: chia làm giai đoạn IA (IA1, IA2, IA3), IB
●Giai đoạn II: IIA, IIB.
●Giai đoạn III: IIIA, IIIB, IIIC.
●Giai đoạn IV: IVA, IVB
Ung thư phổi điều trị như thế nào?
►Phẫu thuật: được thực hiện ở giai đoạn sớm của bệnh, là phương pháp điều trị duy nhất để loại bỏ gần như hoàn toàn tế bào ung thư ra khỏi cơ thể, giai đoạn bệnh càng sớm thì tỷ lệ điều trị thành công của phẩu thuật càng cao.
Ngày nay phẫu thuật cắt bỏ u phổi bằng kỹ thuật nội soi và các dụng cụ phụ trợ rất phát triển nên phẫu thuật được thực hiện một cách nhanh chóng, ít xâm lấn hơn và thời gian hồi phục của nguời bệnh cũng được cải thiện tốt hơn.
►Liệu pháp nhắm trúng đích: những năm gần đây người ta nhận thấy có những biến đổi gen trong việc phát triển tế bào gây ung thư phổi như : EGFR, BRAF, ALK, ROS1,…các nhà khoa học đã điều chế được những loại thuốc tác động lên những biến đổi gen này để điều trị ung thư phổi, đặc biệt là thuốc ít tác dụng phụ và hiệu quả điều trị tối ưu hơn thuốc hóa trị, giúp người bệnh kéo dài thời gian sống còn rất đáng kể .
►Liệu pháp miễn dịch: đây là phương pháp điều trị được xem là tối ưu nhất cho đến nay trong việc điều trị ung thư phổi giai đoạn muộn, việc điều trị liệu pháp này phụ thuộc vào việc tìm thấy biến đổi gen PDL-1 ở tế bào ung thư. Tuy nhiên hiện tại ở nước ta giá thuốc quá cao và chưa được BHYT đồng chi trả nên còn rất ít bệnh nhân tiếp cận được liệu pháp điều trị này.
►Hóa trị liệu: được sử dụng tùy thuộc vào loại tế bào và giai đoạn của ung thư phổi
+ Hóa trị trước phẩu thuật: làm nhỏ kích thước khối u trước khi phảu thuật.
+ Hóa trị sau phẩu thuật: mục đích tiêu diệt toàn bộ các tế bào ung thư còn xót lại hoặc đã di căn mà chúng ta không thể nhìn thấy được ngay cả các xét nghiệm.
Hóa trị còn sử dụng trong các giai đoạn bệnh lan rộng hoặc bệnh nhân không đủ sức khỏe để thực hiện cuộc phẫu thuật.
►Xạ trị: là phương pháp sử dụng các tia hoặc hạt năng lượng cao để tiêu diệt tế bào ung thư. Tùy thuộc vào giai đoạn của bệnh ung thư phổi mà xạ trị có được dùng để điều trị hỗ trợ hay không? Thường xạ trị được dùng để điều trị giảm nhẹ trong ung thư di căn xương, di căn não hoặc phối hợp làm giảm kích thước u trước khi phẩu thuật…
►Điều trị giảm nhẹ: chủ yếu điều trị nâng đỡ và điều trị triệu chứng giúp bệnh nhân dễ chịu nhất dưới tác động của bệnh.