Chẩn đoán và điều trị bệnh Lao
Chẩn đoán và điều trị bệnh Lao
CHẨN ĐOÁN VÀ ĐIỀU TRỊ BỆNH LAO
ThS.BS. Nguyễn Hữu Hoàng
Trung tâm điều trị bệnh hô hấp Phổi Việt
Lao nói chung và lao phổi nói riêng là bệnh rất phổ biến ở Việt Nam. 
Đây là một bệnh gây ảnh hưởng tới sức khỏe của người bệnh không chỉ hiện tại mà còn sau này. Việc chẩn đoán và điều trị lao cần phải được tiến hành nhanh, hợp lý, đúng đắn để đạt hiệu quả cao nhất cho bệnh nhân và giảm nguy cơ lây lan cho cộng đồng. Bài viết này sẽ mang đến cho mọi người thêm một số thông tin có thể giúp ích cho những thắc mắc chưa được giải đáp.
1/ Làm thế nào để chẩn đoán bệnh lao?
Chẩn đoán bệnh lao nói chung và lao phổi nói riêng không thật sự khó trong đa số các trường hợp. Điều đáng chú ý là làm sao chẩn đoán sớm và chẩn đoán đúng để khởi động điều trị sớm nhằm giảm các tổn thương cũng như biến chứng của lao gây ra.
Để chẩn đoán sớm bệnh lao thì người bệnh cần chú ý các triệu chứng nhiễm lao chung sau đây: sụt cân, chán ăn, mệt mỏi, sốt nhẹ về chiều và đêm, ra mồ hôi “trộm” ban đêm, ớn lạnh về chiều và đêm. Kèm theo các triệu chứng chỉ điểm cơ quan bị lao thường là lao phổi như ho đàm (kéo dài hơn 2 tuần), ho ra máu trong một số trường hợp, khó thở, tức ngực… lao hạch thường là hạch cổ, hạch nách…
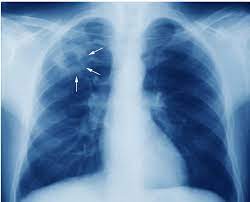
Khi có các triệu chứng trên cần tới các cơ sở y tế chuyên về lao để được khám và điều trị. Thường bệnh nhân sẽ được cho chụp X quang phổi. Nếu phổi có tổn thương dạng thâm nhiễm, nốt, hang nghi ngờ lao sẽ được cho xét nghiệm soi đàm tìm vi trùng lao. Nếu có vi trùng lao trong đàm sẽ được khởi động điều trị lao phổi.

Trường hợp nếu không thấy vi trùng lao trong đàm thì bác sỹ sẽ cho làm thêm các xét nghiệm khác như chụp CT phổi, nội soi phế quản lấy dịch rửa phế quản làm xét nghiệm. Sau đó sẽ được hội chẩn để chẩn đoán và điều trị lao nếu cần.
Các mẫu đàm hoặc bệnh phẩm khác nghi ngờ lao có thể được đem làm các xét nghiệm sinh học phân tử và nuôi cấy tìm vi trùng lao + kháng sinh đồ để có chẩn đoán chính xác và điều trị phù hợp.
Như vậy bệnh nhân cần tới khám khi có triệu chứng ho đàm kéo dài kèm theo chán ăn sụt cân, sốt ớn lạnh, vã mồ hôi về chiều và đêm.
2/ Điều trị lao như thế nào?
Nếu bệnh nhân được chẩn đoán lao phổi thì phác đồ hiện tại cho người lớn và trẻ em tối thiểu là 6 tháng với 2 tháng tấn công dùng 4 loại thuốc và 4 tháng duy trì với 3 loại thuốc cho người lớn và 2 loại thuốc cho trẻ em.
Các trường hợp lao khác như lao màng não-não, lao xương khớp, lao hạch thì điều trị tối thiểu 12 tháng với 2 tháng tấn công dùng 4 loại thuốc và 10 tháng duy trị với 3 loại thuốc cho người lớn và 2 loại thuốc cho trẻ em.
Chú ý:
- Điều trị lao cần tuân thủ theo hướng dẫn, uống đúng thuốc, đủ liều lượng, đủ thời gian và đều đặn.
- Các thời điểm sẽ được yêu cầu lấy đàm và x quang phổi: sau 2 tháng, sau 5 tháng và sau 6 tháng. Tùy vào đáp ứng điều trị bác sỹ có thể yêu cầu lấy đàm và x quang ở các thời điểm khác giúp theo dõi điều trị tốt hơn.
- Thuốc điều trị lao uống 1 lần duy nhất vào lúc bụng đói: Thường là trước ăn sáng 1 giờ hoặc tối trước khi ngủ (nhưng cần sau khi ăn bữa cuối ít nhất 2 tiếng) đây là giải pháp thay thế nếu uống sáng trước ăn không được.
- Uống thuốc lao cần phải theo dõi chức năng gan, thận định kỳ theo hướng dẫn vì các thuốc này đào thải qua gan, thận.
- Uống thuốc lao có thể dị ứng da như ngứa mề đay và các tác dụng phụ khác, bác sỹ sẽ giải thích rõ các triệu chứng này trước và trong quá trình điều trị. Cần trao đổi với bác sỹ khi có bất kỳ triệu chứng khó chịu nào mà bản thân không rõ.
3/ Điều trị lao tiềm ẩn khi nào?
Lao tiểm ẩn là tình trạng một người mang trong mình con vi trùng lao nhưng chưa phát bệnh do tiếp xúc với những người mắc lao. Theo thời gian những người mang vi trùng lao có thể bị bệnh lao do vi trùng lao bùng phát. Việc điều trị lao tiềm ẩn giúp loại trừ vi trùng lao tiềm tàng trong cơ thể để không có nguy cơ trở thành bệnh lao sau này.
Những người nào sẽ cần điều trị lao tiểm ẩn?

- Tất cả người nhiễm HIV (người lớn) được làm các xét nghiệm để loại trừ không mắc lao.
- Trẻ em từ 0-14 tuổi có HIV và trẻ dưới 5 tuổi không bị lao và sống cùng với người lao phổi.
- Những đối tượng khác làm xét nghiệm test da hoặc IGRA dương tính. Các đối tượng nguy cơ bao gồm nhân viên y tế, người sống chung với người mắc lao phổi.
Phác đồ điều trị lao tiềm ẩn: Người lớn 9 tháng, trẻ em 6 tháng với 1 loại thuốc INH (Isoniazid)
Kết luận:Như vậy chúng ta thấy bệnh lao là bệnh nhiễm trùng và có thể xẩy ra ở nhiều cơ quan trong cơ thể, phổi là cơ quan thường bị tổn thương nhất. Bệnh nhân cần tới khám khi ho đàm kéo dài (hơn 2 tuần), có thể ho ra máu, khó thở, tức ngực… kèm với các chán ăn, sụt cân, sốt ớn lạnh, vã mồ hôi về chiều và đêm. o.. Điều trị lao cần tuân thủ: Uống đúng thuốc, đủ liều, đủ thời gian và đều đặn. Điều trị lao tiềm ẩn sẽ giúp giảm bớt các trường hợp hình thành bệnh lao sau này.