Kiến thức bệnh

Ho ra máu là biểu hiện của bệnh gì?

Ho ra máu là biểu hiện của bệnh gì? Ho ra máu là biểu hiện của bệnh gì? ThS.BS Trần Thị Thúy Tường Giảng viên bộ môn nội trường Đại Học Y Dược TPHCM BS trung tâm điều trị bệnh hô hấp Phổi Việt   Ho ra máu là  tình trạng khạc ra máu từ […]

Ho có đờm kéo dài có thể là dãn phế quản

Ho có đờm kéo dài có thể là dãn phế quản Ho có đờm kéo dài có thể là dãn phế quản! TS.BS. Lê Khắc Bảo Giảng viên bộ môn nội hô hấp trường ĐHYD TPHCM Phó khoa hô hấp bệnh viện Nhân Dân Gia Định Cố vấn chuyên môn trung tâm điều trị bệnh […]

Viêm họng do liên cầu khuẩn (Streptoccocus)

Viêm họng do liên cầu khuẩn (Streptoccocus) Viêm họng do liên cầu khuẩn (Streptoccus) ThS.BS. Huỳnh Thị Chiêu Oanh Trung tâm điều trị bệnh hô hấp Phổi Việt Trưởng đơn vị hô hấp – Bệnh viện 115   I. Viêm họng do liên cầu khuẩn là gì?  Viêm họng do liên cầu khuẩn (Streptococcus) là […]

Đau họng

Đau họng Đau họng ThS.BS. Huỳnh Thị Chiêu Oanh Trung tâm điều trị bệnh hô hấp Phổi Việt Trưởng đơn vị hô hấp – Bệnh viện 115   1. Khái niệm Đau họng là tình trạng họng bị đau rát hoặc ngứa. Đau có thể tăng lên khi nuốt.  Có nhiều nguyên nhân gây đau […]

Tâm phế mạn

Tâm phế mạn Tâm phế mạn ThS.BS. Huỳnh Thị Chiêu Oanh Trung tâm điều trị bệnh hô hấp Phổi Việt Trưởng đơn vị hô hấp – BV Nhân Dân 115     Tâm phế mạn(TPM) là trường hợp phì đại và giãn tâm thất phải thứ phát do tăng áp lực động mạch phổi (ALĐMP), […]

Bộ máy hô hấp

Bộ máy hô hấp Bộ máy hô hấp TS.BS. Lê Khắc Bảo Giảng viên Bộ Môn Nội – Đại học Y Dược TPHCM Cố vấn chuyên môn Trung Tâm Điều Trị Bệnh Hô Hấp Phổi Việt   I.   Cấu tạo bộ máy hô hấp: Chia thành đường hô hấp trên, dưới và nhu mô […]

Bệnh trào ngược họng thanh quản

Bệnh trào ngược họng thanh quản Bệnh trào ngược họng thanh quản ThS.BS. Đào Minh Phương BS khoa tiêu hóa BV 115   I.  GIỚI THIỆU: -Trào ngược dạ dày thực quản (Gastroesophageal disease, viết tắt là GERD) là một bệnh lý quen thuộc -Trào ngược họng thực quản: là triệu chứng ngoài thực quản […]

Viêm tiểu phế quản

Viêm tiểu phế quản VIÊM TIỂU PHẾ QUẢN ThS. BS. Ngô Nguyễn Hải Thanh Trung tâm điều trị bệnh hô hấp Phổi Việt   Viêm tiểu phế quản là một trong các bệnh lý nhiễm trùng của đường hô hấp dưới thường gặp ở trẻ nhỏ. Tình trạng nhiễm trùng gây viêm, phù nề đường […]

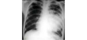
Tràn dịch màng phổi là gì?

Tràn dịch màng phổi là gì? Tràn dịch màng phổi ThS.BS. Nguyễn Hồng Đức Nguyên Trưởng khoa Phòng Khám – Bệnh viện Phạm Ngọc Thạch Cố vấn chuyên môn Trung tâm điều trị bệnh hô hấp Phổi Việt Mỗi lá phổi trong lồng ngực được bao quanh bởi 2 lớp màng rất mỏng gọi là […]

Tổng quan về ung thư phế quản

Tổng quan về ung thư phế quản UNG THƯ PHỔI TS.BS. Lê Khắc Bảo – Giảng viên Đại học Y Dược TPHCM Phó khoa hô hấp Bệnh Viện Nhân Dân Gia Định Cố vấn Trung tâm điều trị bệnh hô hấp Phổi Việt     TÓM TẮT Ung thư phế quản (thường gọi là ung thư […]

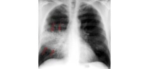
Giãn phế quản

Ông T 57 tuổi đến khám tại phòng khám Phổi Việt theo chương trình Hội chẩn chuyên môn bệnh hô hấp khó trị vì một nỗi trăn trở là ông thỉnh thoảng lại ho ra đàm vướng máu, thường là đàm màu trắng có dính dây máu, nhưng cũng có khi máu đỏ tươi lượng […]

Viêm phế quản cấp

Viêm phế quản cấp Viêm phế quản cấp TS.BS. Lê Khắc Bảo – Giảng viên Đại học Y Dược TPHCM Phó khoa hô hấp Bệnh Viện Nhân Dân Gia Định Cố vấn chuyên môn Trung tâm điều trị bệnh hô hấp Phổi Việt   TÓM TẮT Viêm phế quản cấp là bệnh thường gặp, thể […]